Дентална клиника Дамянов Лечение на коренови канали

Кога се налага лечение на кореновите канали?

 

До кореново (ендодонтско) лечение на един зъб, или както голяма част от пациентите са чували „умъртвяване на зъб (нерв)“ или „вадене на нерв“ се стига, когато инфекцията и токсините на бактериите при кариес достигнат до пулпата (нервът) на зъба. При изчерпване на защитните й механизми се наблюдава необратимо пулпно възпаление (възпаление на нерва) – то се характеризира с много силна теглеща болка, която не се повлиява почти от никакви обезболяващи лекарства. Има и случаи, при които обаче не се наблюдава болка и процесът е хроничен, а до диагнозата се стига при смяна на стара пломба.

Най-честите случаи на коренови лечения в Дентална клиника Дамянов са на ендодонтско релечение (прелекуване на коренови канали). Това е интервенция, която се справя с неуспешно проведени предишни лечения на коренови канали, довели до усложнения като – периодонтити с периапикални изменения (грануломи) или по-сложни случаи на счупени канални инструменти, перфорации и прагове в кореновите канали. Лечението с помощта на дентален микроскоп, нашата отдаденост и огромен професионализъм ни дава възможност да спасим огромен брой „безнадеждни“ за много практики зъби.

Дентална клиника Дамянов Лечение на коренови канали

Най-добрите ендодонтисти в България

 

В нашата клиника за ендодотските случаи се грижи екип от най-добрите ендодонтисти в България – д-р Светломир Дамянов, победител в две организирани в страната състезания за кореново лечение. Д-р Николета Карапетрова – победител в основната категория на ендо конкурс проведен ноември 2020 г. и д-р Пламена Мурджева победител в категория „прохождащ ендодонтист“ отново в ендо конкурс ноември 2020 г.

Имплант – преди или след като извадим зъба?

Планирането на имплантите в идеалния случай става преди изваждането на зъба. Това би ви спестило много време, разходи и ще намали броя на нужните хирургични интервенции. При повечето пациенти зъбния имплант се поставя едномоментно след изваждането на зъба. Възстановяването може да се усложни в следствие на ненавременна намеса и да доведе до загуба на кост, разместване на съседните зъби или промяна в захапката. Но с помощта на най-съвременните методи на пародонталната хирургия загубите на кост в областта на обеззъбения участък могат да се възстановяват до пълният обем и венеца около бъдещия зъб.

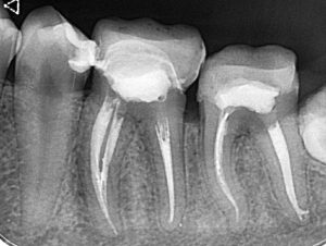
Един случай на „невъзможен зъб“

 

Пациентката беше изпратена в клиниката за консултация с „невъзможен за лечение“ зъб. Д-р Светломир Дамянов обича предизвикателствата и не му трябваше втора покана.


На снимките може ясно да се види ужасната и наистина невъзможна извивка.


Може да се види и прекрасно свършената работа с този зъб.

1-300x216-6722b6b958f83
Дентална клиника Дамянов Лечение на коренови канали

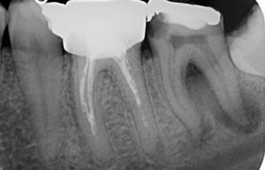
Перфорация на зъбен корен, съчетана със счупен инструмент

Случай на релечение на долен пети зъб, в който предишният колега беше фрактурирал канален инструмент и в опита си да довърши лечението бе перфорирал и корена на нивото на извивката. Освен перфорацията, извивката и счупения канален инструмент, сложността на случая идваше и от факта, че коренът беше изключително тесен в областта на извивката и имаше голяма опасност при премахването на инструмента зъбът допълнително да се отслаби на това място

След изключително щадящо премахване на инструмента, каналът бе обработен до невероятните 27 мм.

След което, заедно с перфорацията, беше запълнен с биокерамичен сийлър

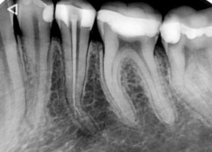
Лечение на гранулом

     Случай на случайно открит периодонтит на долен седми зъб. Пациентът дойде при нас, защото “му задържа храна” между два зъба. Рентгенологичната находка ни сблъска с много по-сериозен проблем, лечението на който отне повече от 2 месеца. Седмият зъб бе с диагноза хроничен апикален периодонтит, а грануломът бе обхванал целият зъб, включително и фуркацията на зъба. При шестия зъб положението не беше толкова драматично, но също се наложи да се прелекува, поради същата диагноза като съседния.

 

Днес, две години след лечението, няма и помен от проблеми и пациентът очаква поставянето на брекетите на долната си челюст.

 
Дентална клиника Дамянов Лечение на коренови канали
Дентална клиника Дамянов Лечение на коренови канали

Свържете се с нас и запишете своя час за консултация на телефон +359 878 60 00 71 или на e-mail адрес clinic@damyanovdental.com

Scroll to Top
Call Now Button