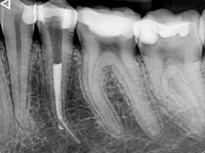
Случай на релечение на долен пети зъб, в който предишният колега беше фрактурирал канален инструмент и в опита си да довърши
лечението бе перфорирал и корена на нивото на извивката.
Освен перфорацията, извивката и счупения канален инструмент,
сложността на случая идваше и от факта, че коренът беше изключително тесен в областта на
извивката и имаше голяма опасност при
премахването на инструмента зъбът допълнително да се отслаби на
това място.
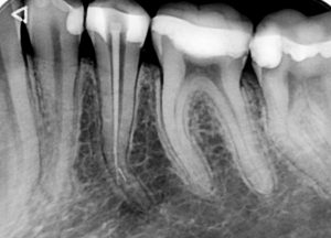
След изключително щадящо премахване на инструмента,
каналът бе обработен до невероятните 27 мм.
След което, заедно с перфорацията, беше запълнен с
биокерамичен сийлър